Classe III, articulé croisé antérieur, décalage de la ligne médiane, chevauchement
Élastiques : Classe II, distalisation, expansion, verstibulo-version, réduction interproximale
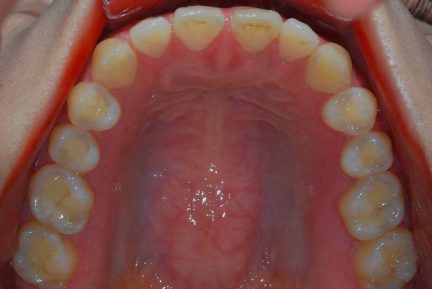
Avec l'aimable autorisation du Dr Samoto, 2013

Synthèse du traitement
Informations patient
- Âge: 14
- Sexe: Masculin
- Option de traitement Invisalign: Full
Durée totale du traitement
- 32 mois
Nombre d'aligners
- Maxillaire: 63
- Mandibulaire: 29
Contention
- Maxillaire: Retainer amovible
- Mandibulaire: Retainer amovible
Résultats obtenus
- Relation de classe I obtenue
- Guidage fonctionnel des canines des deux côtés
- Articulé antérieur corrigé
- Articulé postérieur corrigé
- Surplomb et recouvrement normaux obtenus
- Lignes médianes coïncidentes
- Bonne inclinaison axiale des incisives
- Courbe de Spee nivelée
- Cas où tous les objectifs du traitement ont été atteints
- Des arcades harmoniques ont été réalisées
Commentaires
- Nous avons décidé de faire une expansion, une réduction interproximale antérieure et postérieure pour éviter une extraction dentaire.
- Il n'y avait pas besoin d'élastiques pour corriger l'articulé croisé postérieur.
État initial
État final
Autres cas
Articulé croisé
Avec l'aimable autorisation du Dr X. Zhang, 2019
Classe II div 1, articulé croisé postérieur, surplomb augmenté, supraclusion, arcades asymétriques, déviation de la ligne médiane mandibulaire, chevauchement, rotations
Articulé croisé
Avec l'aimable autorisation du Dr E. Rothier, 2017
Classe I, articulé postérieur, articulé antérieur, arcades étroites, chevauchement, rotations
invis c'est valoriser votre expertise
En savoir plus sur la façon dont nous pouvons vous aider à valoriser votre expertise
Disclaimer: By submitting this form, you acknowledge that your personal data will be processed by the Align Technology group. Your personal data will be processed in accordance with our privacy policy.
.jpg?width=354&height=170&name=Align%20vertical%204%20logo%20lockup%20digital%20RGB%20(1).jpg)
