- Home
- Cas traitables
Choisissez le sourire dont vous rêvez
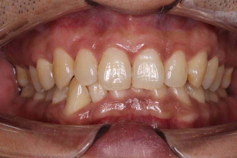
Recouvrement
Les dents supérieures de devant se ferment devant les dents inférieures.
En savoir plus
Recouvrement
Avec l'aimable autorisation du Dr V. Aranguibel Newman, 2021
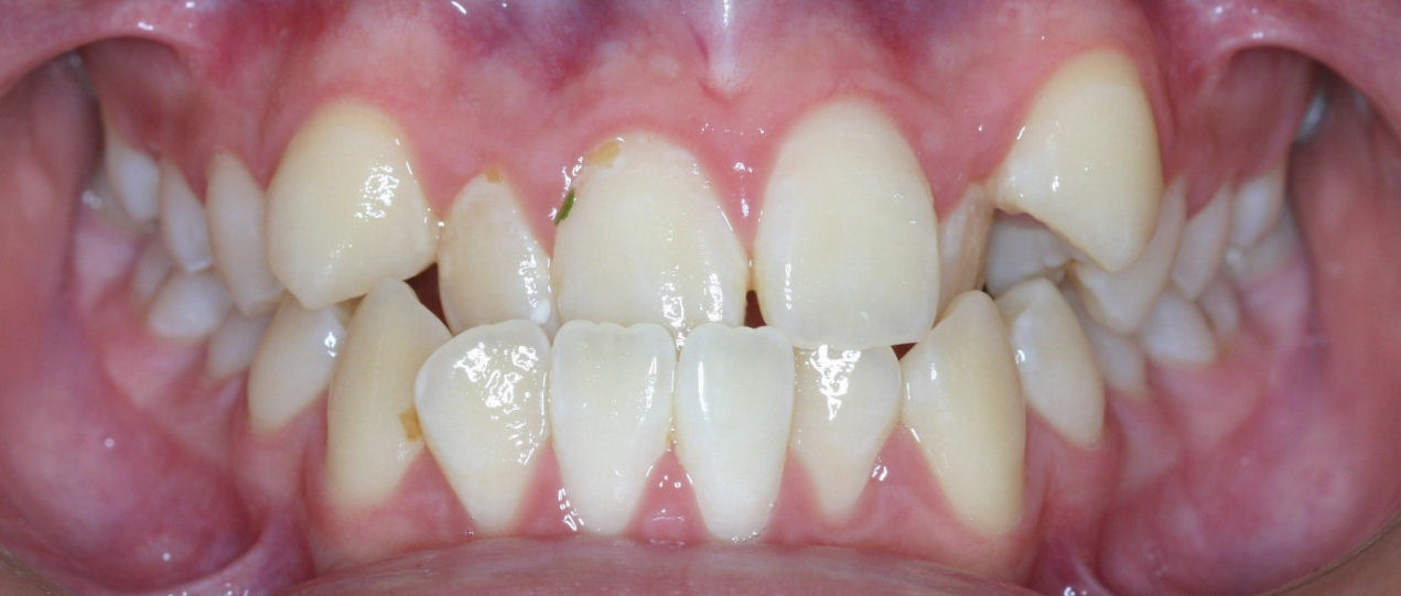
Recouvrement
Avec l'aimable autorisation du Dr Q. Chen, 2021
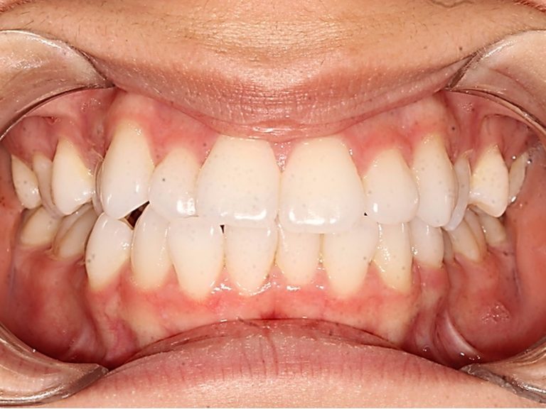
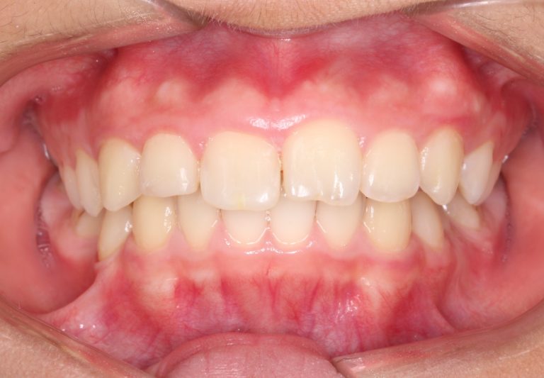
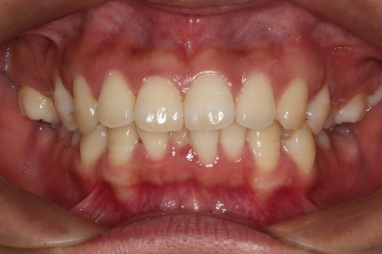
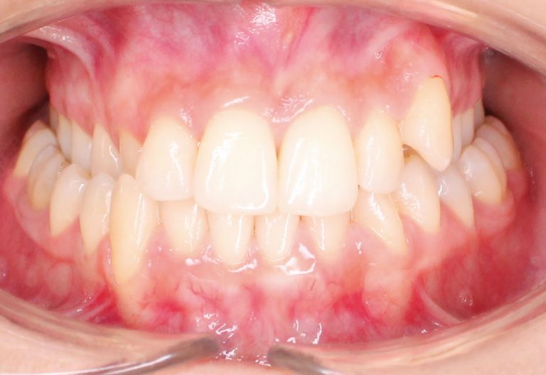
Classe II div 1, surplomb augmenté, rétrognathie mandibulaire, articulation profonde, arcades étroites, arcades asymétriques...
Lire la suite
Recouvrement
Avec l'aimable autorisation du Dr F. Wang, 2021
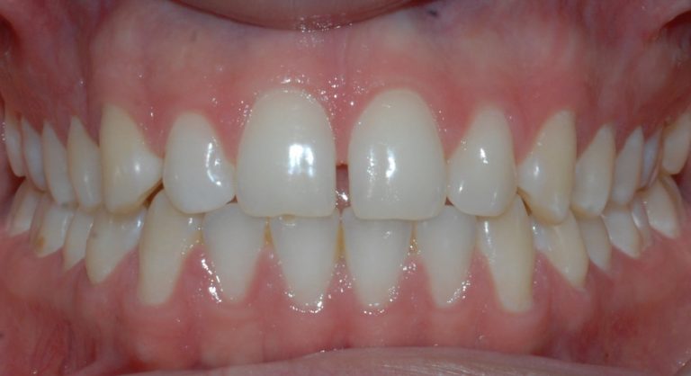
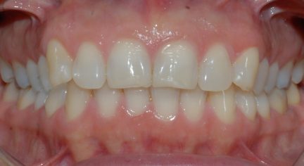
Classe I, béance bout-à-bout, espacement, diastème
Lire la suite
Sous-occlusion
Les dents inférieures dépassent au-delà des dents supérieures de devant.
En savoir plus
Sous-occlusion
Avec l'aimable autorisation du Dr S. Oliveira, 2021
Sous-occlusion
Avec l'aimable autorisation du Dr K. MALEKIAN, 2021
Sous-occlusion
Avec l'aimable autorisation du Dr R. Almada, 2021
Articulé croisé
Avec l'aimable autorisation du Dr X. Zhang, 2019
Classe II div 1, articulé croisé postérieur, surplomb augmenté, supraclusion, arcades asymétriques, déviation de la ligne médiane mandibulaire, chevauchement, rotations
Lire la suite
Articulé croisé
Avec l'aimable autorisation du Dr E. Rothier, 2017
Classe I, articulé postérieur, articulé antérieur, arcades étroites, chevauchement, rotations
Lire la suite
Articulé croisé
Avec l'aimable autorisation du Dr Samoto, 2013
Classe III, articulé croisé antérieur, décalage de la ligne médiane, chevauchement
Lire la suite
Écartement
Avec l'aimable autorisation du Dr H. Ji, 2020
Écartement
Avec l'aimable autorisation du Dr E. Rothier, 2018
Béance
Avec l'aimable autorisation du Dr P. Costa-Monteiro, 2019
Béance
Avec l'aimable autorisation du Dr L. De la Torre, 2020
Béance
Avec l'aimable autorisation du Dr S. Lawrence, 2017
Encombrement dentaire
Il n’y a pas assez d'espace dans la mâchoire pour que les dents se positionnent normalement.
En savoir plus
Encombrement dentaire
Avec l'aimable autorisation du Dr S. Chieh Lin, 2017
Encombrement dentaire
Avec l'aimable autorisation du Dr Q. Chen, 2021
Encombrement dentaire
Des dents globalement plus alignées
Lorsque vous voulez juste un plus beau sourire.
Voir les études de cas ci-dessous
Des dents globalement plus alignées
Avec l'aimable autorisation du Dr K. Fei Fong, 2021
Des dents globalement plus alignées
Avec l'aimable autorisation du Dr R. Gonzalez, 2021
Des dents globalement plus alignées
Avec l'aimable autorisation du Dr R. Gonzalez, 2021
.jpg?width=354&height=170&name=Align%20vertical%204%20logo%20lockup%20digital%20RGB%20(1).jpg)
