Classe III, Articulé croisé antérieur, béance, décalage de la ligne médiane, encombrement, rotations, espacement
Égression, rétraction, réduction interproximale, fermeture d'espace, élastiques : classe III, élastiques : verticaux
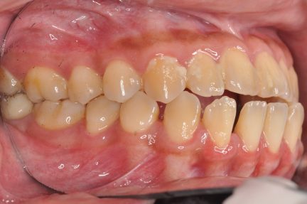
Avec l'aimable autorisation du Dr S. Chieh Lin, 2017

Synthèse du traitement
Informations patient
- Âge : 33
- Sexe : féminin
- Option de traitement Invisalign : Lite
Durée totale du traitement
- 14 mois
Nombre d'aligners
- Maxillaire : 14 + 12 = 26
- Mandibulaire : 14 + 12 = 26
Durée de port de l'aligner
- 2 semaines
Contention
- Maxillaire : Vivera
- Mandibulaire : Vivera
Résultats obtenus
- Relation de classe I obtenue
- Guidage fonctionnel des canines des deux côtés
- Articulé antérieur corrigé
- Surplomb et recouvrement normaux obtenus
- Lignes médianes coïncidentes
- Bonne inclinaison axiale des incisives
- Courbe de Spee nivelée
- Alignement des deux arcades par dérotation
- Forme de l'arcade améliorée
- La ligne de sourire esthétique a été obtenue
- Cas où tous les objectifs du traitement ont été atteints
Commentaires
- C'est un cas difficile à traiter avec l'option Invisalign Lite.
- Il s'agit d'un squelette de classe III avec béance et morsure en X, cas d'encombrement supérieur et d'espacement inférieur.
- La conception ClinCheck contient la fonction G4 pour résoudre la béance par égression antérieure.
- Soulager l'encombrement et réduire le triangle noir par les réduction interproximale.
- L'occlusion antérieure et la béance sont corrigées par la Classe III et les élastiques verticaux assistés.
État initial
État final
Autres cas
Encombrement dentaire
Avec l'aimable autorisation du Dr Q. Chen, 2021
Classe II div 1, surplomb accru, rétrognathie mandibulaire, articulation profonde, arcades étroites, arcades asymétriques, déviation de la ligne médiane mandibulaire, décalage de la ligne médiane, chevauchement
Encombrement dentaire
Avec l'aimable autorisation du Dr V. Aranguibel Newman, 2021
Classe II div 1, articulé croisé postérieur, surplomb accru, déviation de la ligne médiane maxillaire, rotations de chevauchement
invis c'est valoriser votre expertise
En savoir plus sur la façon dont nous pouvons vous aider à valoriser votre expertise
Disclaimer: By submitting this form, you acknowledge that your personal data will be processed by the Align Technology group. Your personal data will be processed in accordance with our privacy policy.
.jpg?width=354&height=170&name=Align%20vertical%204%20logo%20lockup%20digital%20RGB%20(1).jpg)
