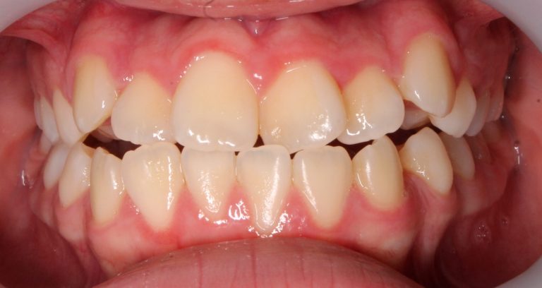
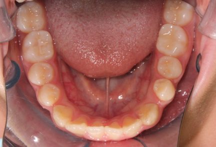
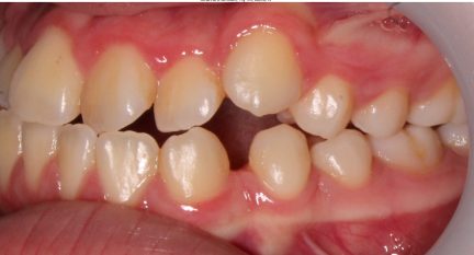
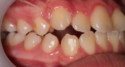
Classe III, articulé postérieur, articulé antérieur, occlusion bout-à-bout, béance, arcades asymétriques, déviation de la ligne médiane mandibulaire, chevauchement, rotations, espacement
Élastiques : Classe III, égression, expansion, rétraction, fermeture d'espace
Avec l'aimable autorisation du Dr S. Berman, 2019

Synthèse du traitement
Informations patient
- Âge : 13
- Sexe : féminin
- Option de traitement Invisalign : Invisalign Full
Durée totale du traitement
- 33 mois
Nombre d'aligners
- Maxillaire : 41 + 23 + 19 = 83
- Mandibulaire : 41 + 23 + 19 = 83
Durée de port de l'aligner
- 1 semaine
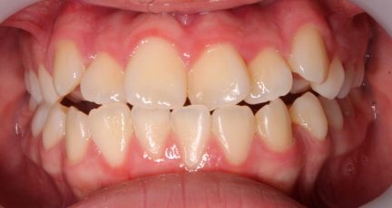
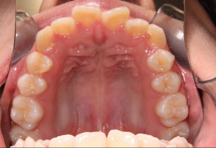
Résultats obtenus
- Relation de classe I obtenue
- Guidage fonctionnel des canines des deux côtés
- Articulé antérieur corrigé
- Articulé postérieur corrigé
- Surplomb et recouvrement normaux obtenus
- Surplomb amélioré
- Amélioration significative de la supraclusion
- Amélioration significative du surplomb
- Lignes médianes coïncidentes
- Bonne inclinaison axiale des incisives
- Alignement des deux arcades par dérotation
- Forme de l'arcade améliorée
- La ligne de sourire esthétique a été obtenue
- Cas où tous les objectifs du traitement ont été atteints
- Des arcades harmoniques ont été obtenues
Commentaires
- Le recouvrement a été corrigé à l'aide de taquets d'égression optimisés
- L'espace nécessaire a été créé pour que les canines hautes fassent éruption
- La rétraction des dents inférieures a été réalisée à l'aide d'élastiques de classe III, pour corriger le surplomb optimal et obtenir des canines et molaires de classe I.
État initial
État final
Autres cas
Encombrement dentaire
Avec l'aimable autorisation du Dr S. Chieh Lin, 2017
Classe III, articulé croisé antérieur, béance, décalage de la ligne médiane, chevauchement, rotations, espacement
Encombrement dentaire
Avec l'aimable autorisation du Dr V. Aranguibel Newman, 2021
Classe II div 1, articulé croisé postérieur, surplomb accru, déviation de la ligne médiane maxillaire, rotations de chevauchement
invis c'est valoriser votre expertise
En savoir plus sur la façon dont nous pouvons vous aider à valoriser votre expertise
Disclaimer: By submitting this form, you acknowledge that your personal data will be processed by the Align Technology group. Your personal data will be processed in accordance with our privacy policy.
.jpg?width=354&height=170&name=Align%20vertical%204%20logo%20lockup%20digital%20RGB%20(1).jpg)
