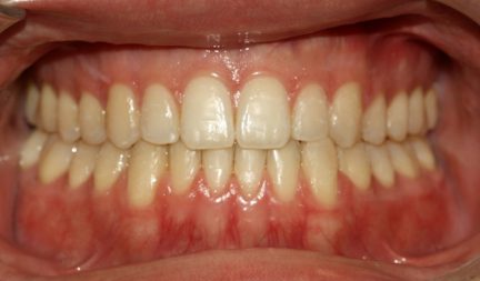
Classe III, béance, arcades étroites, arcades asymétriques, déviation médiane maxillaire, déviation médiane mandibulaire, décalage médian, encombrement, rotations, espacement, diastème
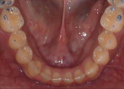
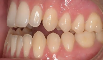
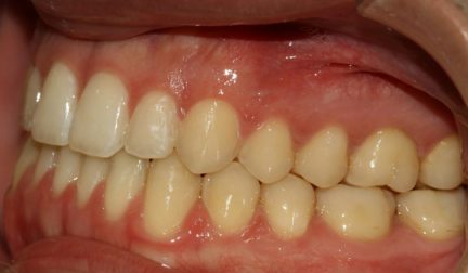
Mésialisation, courbe de Spee nivelée, égression, expansion, rétraction, vestibulo-version, fermeture de l'espace, traitement de phase II, élastiques : Classe III
Avec l'aimable autorisation du Dr K. Malekian, 2019

Synthèse du traitement
Informations patient
- Âge: 29
- Sexe: masculin
- Option de traitement Invisalign: Invisalign Full
Durée totale du traitement
- 20 mois
Nombre d'aligners
- Maxillaire: 32 + 18 + 21 = 71
- Mandibulaire: 32 + 18 + 21 = 71
Durée de port de l'aligner
- Changement progressif d'aligner: 14-10-7 jours
Résultats obtenus
- Relation de classe I obtenue
- Guidage fonctionnel des canines des deux côtés
- Surplomb et recouvrement normaux obtenus
- Surplomb amélioré
- Amélioration significative du surplomb
- Lignes médianes coïncidentes
- Bonne inclinaison axiale des incisives
- Courbe de Spee nivelée
- Arches alignées et coordonnées
- Forme de l'arcade améliorée
- La ligne de sourire esthétique a été obtenue
- Cas où tous les objectifs du traitement ont été atteints
- Des arcades harmoniques ont été obtenues
Commentaires
- Expansion postérieure de l'arc supérieur.
- Mésialisation de l'arc supérieur (1-2 mm): Classe III molaire et canine à classe I molaire et canine.
- Incisive inférieure et couple de canine (facteur clé).
- Taquets d'égression optimisés au niveau des incisives supérieures et inférieures et des canines: fermeture à béance ouverte antérieure.
- Élastiques de classe III : Molaire et canine de classe III à molaire et canine de classe I. (Temps plein 22 heures/vêtements de jour).
État initial
État final
Autres cas
Encombrement dentaire
Avec l'aimable autorisation du Dr S. Chieh Lin, 2017
Classe III, articulé croisé antérieur, béance, décalage de la ligne médiane, chevauchement, rotations, espacement
Encombrement dentaire
Avec l'aimable autorisation du Dr Q. Chen, 2021
Classe II div 1, surplomb accru, rétrognathie mandibulaire, articulation profonde, arcades étroites, arcades asymétriques, déviation de la ligne médiane mandibulaire, décalage de la ligne médiane, chevauchement
invis c'est valoriser votre expertise
En savoir plus sur la façon dont nous pouvons vous aider à valoriser votre expertise
Disclaimer: By submitting this form, you acknowledge that your personal data will be processed by the Align Technology group. Your personal data will be processed in accordance with our privacy policy.
.jpg?width=354&height=170&name=Align%20vertical%204%20logo%20lockup%20digital%20RGB%20(1).jpg)
