Classe III, espacement, diastème
Égression, fermeture d'espace, surtraitement
Avec l'aimable autorisation du Dr H. Ji, 2020

Synthèse du traitement
Informations patient
- Âge : 27
- Sexe : féminin
- Option de traitement Invisalign : Invisalign Full
Durée totale du traitement
- 6 mois
Nombre d'aligners
- Maxillaire : 19
- Mandibulaire : 19
Durée de port de l'aligner
- 1 semaine
Contention
- Maxillaire : Fixe/Collé
- Mandibulaire : Fixe/Collé
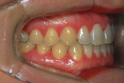
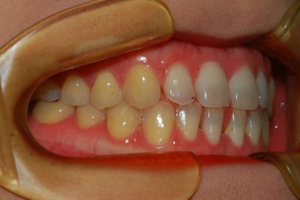
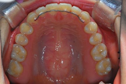
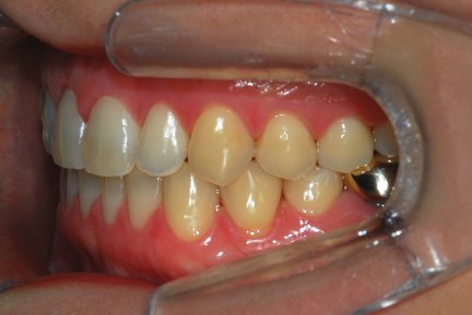
Résultats obtenus
- Relation de Classe I obtenue
- Guidage fonctionnel des canines des deux côtés
- Surplomb et recouvrement normaux obtenus
- Arcades alignées et coordonnées
- Ligne esthétique du sourire obtenue
- Cas où tous les objectifs de traitement ont été atteints
- Arcades harmonieuses obtenues
Commentaires
- J'ai été impressionné par les effets remarquables observés en peu de temps sur ce cas utilisant Invisalign.
Surtout après la fermeture d'espace, le contrôle de l'inclinaison linguale buccale des dents antérieures inférieures était excellent.
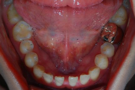
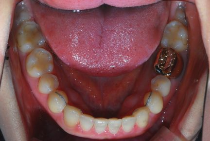
État initial
État final
Autres cas
Écartement
Avec l'aimable autorisation du Dr H. Ji, 2020
Classe III, Espacement, Diastème
invis c'est valoriser votre expertise
En savoir plus sur la façon dont nous pouvons vous aider à valoriser votre expertise
Disclaimer: By submitting this form, you acknowledge that your personal data will be processed by the Align Technology group. Your personal data will be processed in accordance with our privacy policy.
.jpg?width=354&height=170&name=Align%20vertical%204%20logo%20lockup%20digital%20RGB%20(1).jpg)
