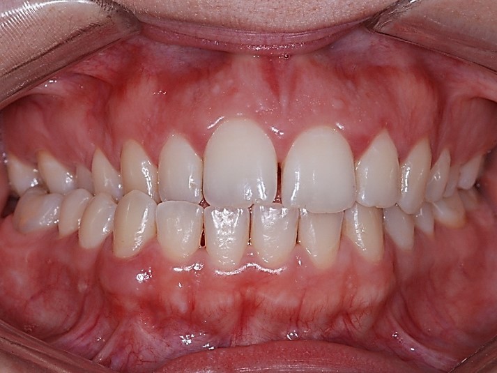
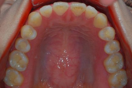
Classe III, articulé postérieur, arcades étroites, arcades asymétriques, déviation de la ligne médiane mandibulaire, décalage de la ligne médiane, rotations, espacement
Expansion, nivellement de la courbe de Spee, réduction interproximale, fermeture de l'espace, pré-chirurgical
Avec l'aimable autorisation du Dr E. Rothier, 2018

Synthèse du traitement
Informations patient
- Âge : 41
- Sexe : féminin
- Option de traitement Invisalign : Full
Durée totale du traitement
- 17 mois
Nombre d'aligners
- Maxillaire : 44 + 28 = 72
- Mandibulaire : 44 + 28 = 72
Durée de port de l'aligner
- 1 semaine
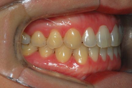
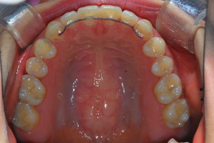
Résultats obtenus
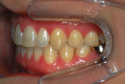
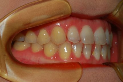
- Relation de classe I obtenue
- Guidage fonctionnel des canines des deux côtés
- Articulé antérieur corrigé
- Articulé postérieur corrigé
- Surplomb et recouvrement normaux obtenus
- Lignes médianes coïncidentes
- Alignement des deux arcades par dérotation
- Forme de l'arcade améliorée
- Cas où tous les objectifs du traitement ont été atteints
Commentaires
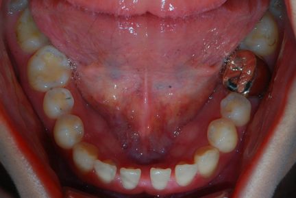
- Une expansion précédente du maxillaire a été effectuée.
- Après l'expansion, ce cas a été préparé pour la chirurgie orthognatique.
- Seul Invisalign sans autre appareil et sans besoin d'élastiques a été utilisé pour la préparation.
- Une surcorrection de l'articulé croisé postérieur a été planifiée pour s'assurer que nous n'aurions pas de contacts prématurés dans la période postopératoire immédiate.
- Entre 3,4 et 3,5, nous n'avons fait qu'une réduction interproximale de 0,3mm pour renforcer la fermeture des espaces.
- La petite déviation médiane a été corrigée avec des aligners supplémentaires.
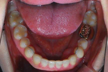
- La dent 1,7 a été extraite car elle n'avait pas d'antagoniste et le patient ne souhaitait pas poser d'implant dans la région de 4,7
État initial
État final
Autres cas
Écartement
Avec l'aimable autorisation du Dr H. Ji, 2020
Classe III, Espacement, Diastème
invis c'est valoriser votre expertise
En savoir plus sur la façon dont nous pouvons vous aider à valoriser votre expertise
Disclaimer: By submitting this form, you acknowledge that your personal data will be processed by the Align Technology group. Your personal data will be processed in accordance with our privacy policy.
.jpg?width=354&height=170&name=Align%20vertical%204%20logo%20lockup%20digital%20RGB%20(1).jpg)
