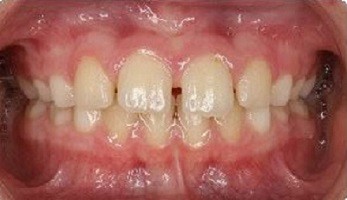
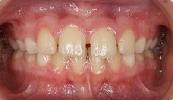
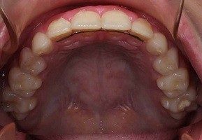
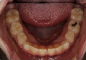
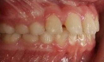
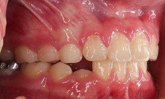
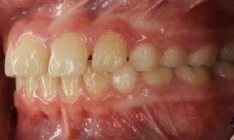
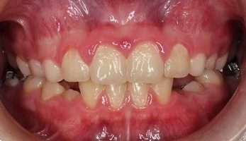
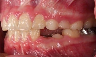
Classe III, espacement
Classe III, espacement
Avec l'aimable autorisation du Dr G. Brigham, 2019

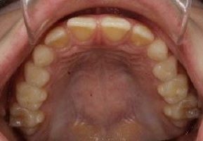
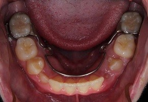
Synthèse du traitement
Informations patient
- Âge : 11
- Sexe : féminin
- Option de traitement Invisalign : Invisalign First
Durée totale du traitement
- 15 mois
Nombre d'aligners
- Maxillaire : 18 + 21 = 39
- Mandibulaire : 18 + 21 = 39
Durée de port de l'aligner
- 1 semaine
Résultats obtenus
- Relation de classe I obtenue
- Lignes médianes coïncidentes
- Arcades alignées et coordonnées
- Forme d'arcade améliorée
Commentaires
- Arcades élargies en utilisant uniquement Invisalign
- Espaces fermés entre les incisives
- Coïncident avec les lignes médianes
- Élastiques de classe III
- Contention avec arcade de maintien lingual et rétention max fixe
État initial
État final
Autres cas
Écartement
Avec l'aimable autorisation du Dr H. Ji, 2020
Classe III, Espacement, Diastème
Écartement
Avec l'aimable autorisation du Dr E. Rothier, 2018
lasse III, Articulation postérieure, arcades étroites, arcades asymétriques, déviation de la ligne médiane mandibulaire, décalage de la ligne médiane, b rotations, espacement
invis c'est valoriser votre expertise
En savoir plus sur la façon dont nous pouvons vous aider à valoriser votre expertise
Disclaimer: By submitting this form, you acknowledge that your personal data will be processed by the Align Technology group. Your personal data will be processed in accordance with our privacy policy.
.jpg?width=354&height=170&name=Align%20vertical%204%20logo%20lockup%20digital%20RGB%20(1).jpg)
