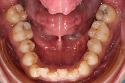
Classe I, articulation profonde, arcades étroites, arcades asymétriques, déviation de la ligne médiane mandibulaire, décalage de la ligne médiane, chevauchement, rotations
Courbe de Spee nivelée, égression, ingression, expansion, vestibulo-version
Avec l'aimable autorisation du Dr K. Fei Fong, 2021

Synthèse du traitement
Informations patient
- Âge: 42
- Sexe: masculin
- Option de traitement Invisalign: Invisalign Full
Durée totale du traitement
- 24 mois
Nombre d'aligners
- Maxillaire: 26 + 18 + 13 = 57
- Mandibulaire: 40 + 18 + 13 = 71
Durée de port de l'aligner
- 1 semaine
Contention
- Maxillaire: Autre clair
- Mandibulaire: Autre clair
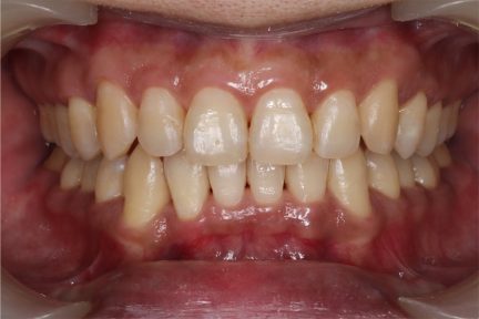
Résultats obtenus
- Relation de Classe I maintenue
- Guidage fonctionnel des canines des deux côtés
- Surplomb et recouvrement normaux obtenus
- Supraclusion améliorée
- Surplomb amélioré
- Amélioration significative du surplomb
- Amélioration significative du recouvrement
- Axes médians qui coïncident
- Inclinaison axiale correcte des incisives
- Courbe de Spee nivelée
- Arcades alignées et coordonnées
- Alignement des deux arcades par le biais d'une dérotation
- Forme d'arcade améliorée
- Ligne esthétique du sourire obtenue
- Cas où tous les objectifs de traitement ont été atteints
- Arcades harmonieuses obtenues
Commentaires
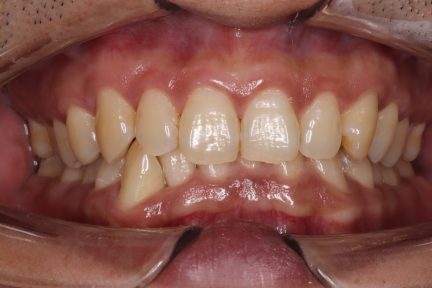
- Il s'agit d'un cas grave de supraclusion.
- L'aligner Invisalign est un excellent système pour résoudre les problèmes de supraclusion sans mettre de turbos d'occlusion sur les dents antérieures, permettant alors au patient de continuer à manger facilement.
- Une ingression étagée pour les dents antérieures inférieures a été utilisée pour assurer une ingression parfaite.
État initial
État final
Autres cas
Dents générales plus droites
Avec l'aimable autorisation du Dr R. Gonzalez, 2021
Classe I, arcades étroites, chevauchement, espacement, diastème
Dents générales plus droites
Avec l'aimable autorisation du Dr R. Gonzalez, 2021
Classe I, supraclusion, arcades étroites, arcades asymétriques, chevauchement, rotations
invis c'est valoriser votre expertise
En savoir plus sur la façon dont nous pouvons vous aider à valoriser votre expertise
Disclaimer: By submitting this form, you acknowledge that your personal data will be processed by the Align Technology group. Your personal data will be processed in accordance with our privacy policy.
.jpg?width=354&height=170&name=Align%20vertical%204%20logo%20lockup%20digital%20RGB%20(1).jpg)
