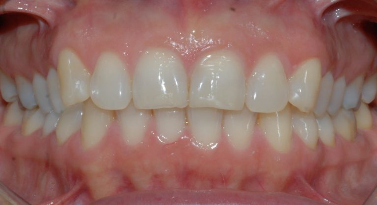
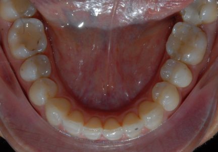
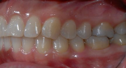
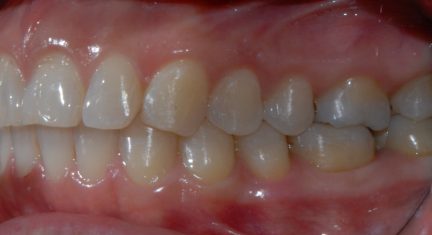
Classe I, supraclusion, arcades étroites, arcades asymétriques, chevauchement, rotations
Ingression, expansion, rétraction, vestibulo-version, réduction interproximal
Avec l'aimable autorisation du Dr R. Gonzalez, 2021

Synthèse du traitement
Informations patient
- Âge: 46
- Sexe: féminin
- Option de traitement Invisalign: Invisalign Lite
Durée totale du traitement
- 4 mois
Nombre d'aligners
- Maxillaire: 14
- Mandibulaire: 14
Durée de port de l'aligner
- 1 semaine
Contention
- Maxillaire: Autre clair
- Mandibulaire: Fixe/Collé
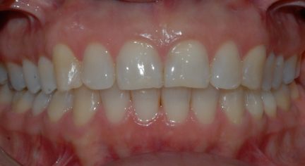
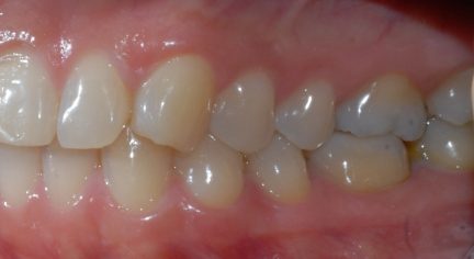
Résultats obtenus
- Relation de classe I maintenue
- Guidage fonctionnel des canines des deux côtés
- Surplomb et recouvrement normaux obtenus
- Supraclusion améliorée
- Lignes médianes coïncidentes
- Bonne inclinaison axiale des incisives
- Arches alignées et coordonnées
- Forme de l'arcade améliorée
- La ligne de sourire esthétique a été obtenue
- Cas où tous les objectifs du traitement ont été atteints
Commentaires
- L'expansion a été faite avec 3 mm dans la zone interprémolaire pour obtenir suffisamment d'espace pour aligner les dents encombrées.
- L'ingression des incisives supérieures et inférieures a été réalisée pour corriger la supraclusion et également améliorer le sourire gingival.
État initial
État final
Autres cas
Dents générales plus droites
Avec l'aimable autorisation du Dr K. Fei Fong, 2021
Classe I, articulation profonde, arcades étroites, arcades asymétriques, déviation de la ligne médiane mandibulaire, décalage de la ligne médiane, chevauchement, rotations
Dents générales plus droites
Avec l'aimable autorisation du Dr R. Gonzalez, 2021
Classe I, arcades étroites, chevauchement, espacement, diastème
invis c'est valoriser votre expertise
En savoir plus sur la façon dont nous pouvons vous aider à valoriser votre expertise
Disclaimer: By submitting this form, you acknowledge that your personal data will be processed by the Align Technology group. Your personal data will be processed in accordance with our privacy policy.
.jpg?width=354&height=170&name=Align%20vertical%204%20logo%20lockup%20digital%20RGB%20(1).jpg)
