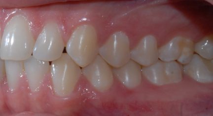
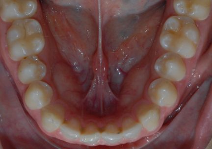
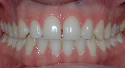
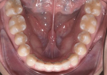
Classe I, arcades étroites, chevauchement, espacement, diastème
Mésialisation, nivellement de la courbe de Spee, ingression, expansion, rétraction, réduction interproximale, fermeture d'espace
Avec l'aimable autorisation du Dr R. Gonzalez, 2021

Synthèse du traitement
Informations patient
- Âge: 24
- Sexe: masculin
- Option de traitement Invisalign: Invisalign Lite
Durée totale du traitement
- 4 mois
Nombre d'aligners
- Maxillaire: 14
- Mandibulaire: 14
Durée de port de l'aligner
- 1 semaine
Contention
- Maxillaire: Fixe/Collé
- Mandibulaire: Fixe/Collé
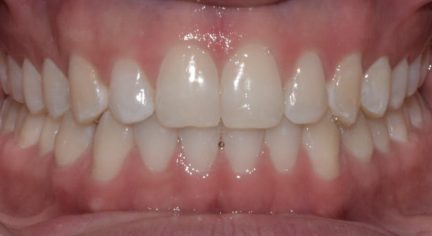
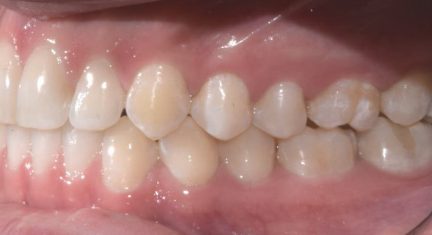
Résultats obtenus
- Relation de classe I maintenue
- Lignes médianes coïncidentes
- Courbe de Spee nivelée
Commentaires
- En raison d'un écart de Bolton, la réduction interproximale était nécessaire dans l'arcade inférieure pour obtenir une relation correcte entre le surplomb et le surplomb. La réduction interproximale établie entre l'incisive centrale supérieure n'a pas été appliqué, de sorte que la fermeture du diastème pouvait avoir un raccord avec les derniers aligners.
État initial
État final
Autres cas
Dents générales plus droites
Avec l'aimable autorisation du Dr K. Fei Fong, 2021
Classe I, articulation profonde, arcades étroites, arcades asymétriques, déviation de la ligne médiane mandibulaire, décalage de la ligne médiane, chevauchement, rotations
Dents générales plus droites
Avec l'aimable autorisation du Dr R. Gonzalez, 2021
Classe I, supraclusion, arcades étroites, arcades asymétriques, chevauchement, rotations
invis c'est valoriser votre expertise
En savoir plus sur la façon dont nous pouvons vous aider à valoriser votre expertise
Disclaimer: By submitting this form, you acknowledge that your personal data will be processed by the Align Technology group. Your personal data will be processed in accordance with our privacy policy.
.jpg?width=354&height=170&name=Align%20vertical%204%20logo%20lockup%20digital%20RGB%20(1).jpg)
