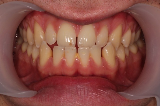
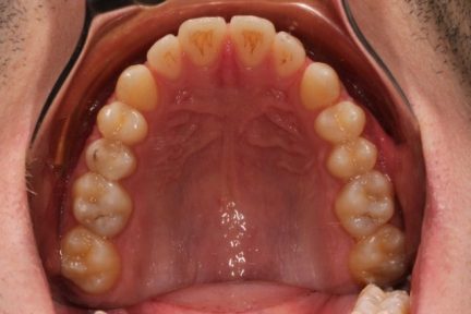
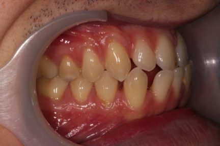
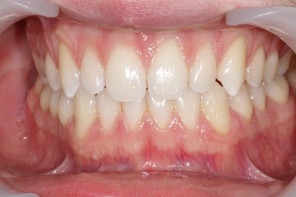
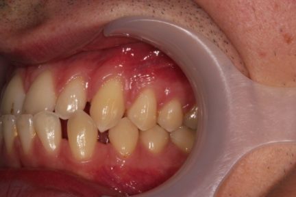
Classe III, articulé croisé antérieur, béance, espacement, diastème
Élastiques : Classe III, nivellement de la courbe de Spee, ingression, expansion, rétraction, réduction interproximale
Avec l'aimable autorisation du Dr P. Costa-Monteiro, 2019

Synthèse du traitement
Informations patient
- Âge : 19
- Sexe : masculin
- Option de traitement Invisalign : Invisalign Full
Durée totale du traitement
- 11 mois
Nombre d'aligners
- Maxillaire : 14 + 23 = 37
- Mandibulaire : 19 + 23 = 42
Durée de port de l'aligner
- 1 semaine
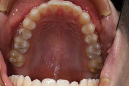
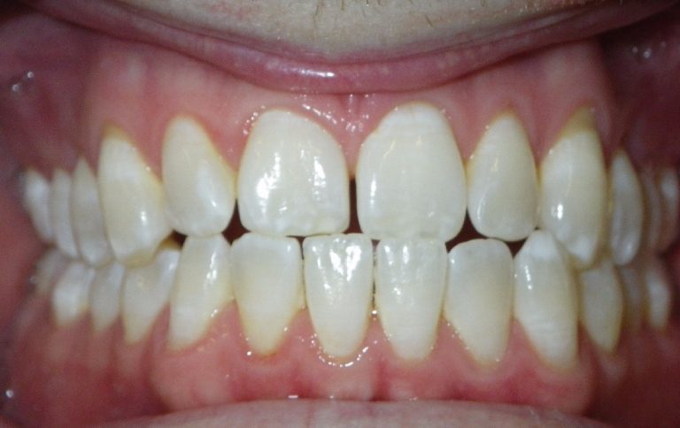
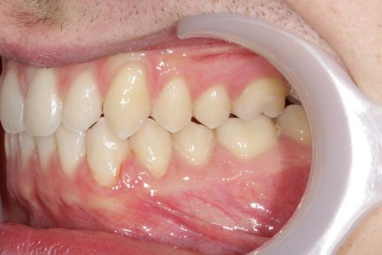
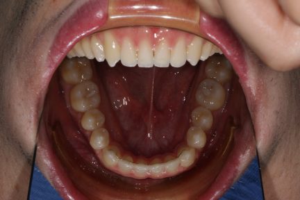
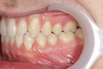
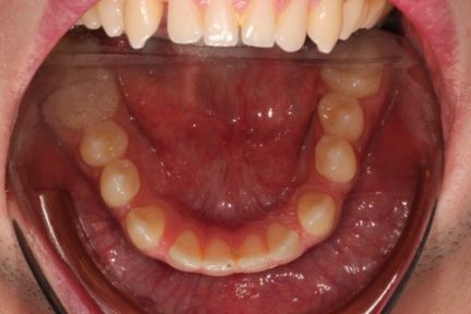
Résultats obtenus
- Relation de classe I obtenue
- Guidage fonctionnel des canines des deux côtés
- Articulé antérieur corrigé
- Forme de l'arcade améliorée
- La ligne de sourire esthétique a été obtenue
- Des arcades harmoniques ont été réalisées
Commentaires
- Nous avons conçu ce traitement avec un changement hebdomadaire des aligners
- Nous avons commencé par élargir l'arcade supérieure et perdre du couple sur les incisives inférieures
- Après 19 aligners, nous avons effectué une réduction interproximale sur l'arcade inférieure et utilisé l'effet de chaîne en C pour fermer tous les espaces
État initial
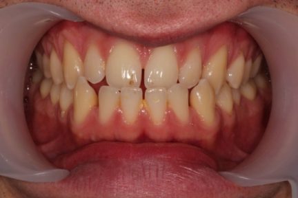
État final
Autres cas
Béance
Avec l'aimable autorisation du Dr L. De la Torre, 2020
Classe III, articulé postérieur, articulé antérieur, béance, arcades asymétriques, rotations, espacement, diastème
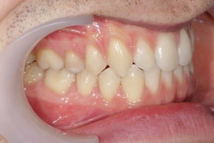
Béance
Avec l'aimable autorisation du Dr S. Lawrence, 2017
Classe I, Classe III, articulé croisé antérieur, surplomb augmenté, béance, espacement
invis c'est valoriser votre expertise
En savoir plus sur la façon dont nous pouvons vous aider à valoriser votre expertise
Disclaimer: By submitting this form, you acknowledge that your personal data will be processed by the Align Technology group. Your personal data will be processed in accordance with our privacy policy.
.jpg?width=354&height=170&name=Align%20vertical%204%20logo%20lockup%20digital%20RGB%20(1).jpg)
