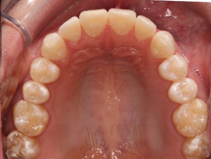
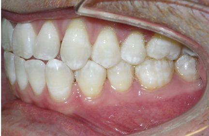
Classe I, Classe III, articulé croisé antérieur, surplomb augmenté, béance, espacement
Égression, inclinaison, réduction interproximale, élastiques : Classe III
Avec l'aimable autorisation du Dr S. Lawrence, 2017

Synthèse du traitement
Informations patient
- Âge : 34
- Sexe : masculin
- Option de traitement Invisalign : Full
Durée totale du traitement
- 22 mois
Nombre d'aligners
- Maxillaire : 24 + 9 + 15 = 48
- Mandibulaire : 24 + 9 + 15 = 48
Durée de port de l'aligner
- 2 semaines
Contention
- Maxillaire : Vivera
- Mandibulaire : Vivera
Résultats obtenus
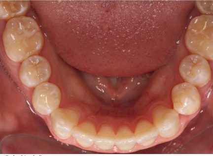
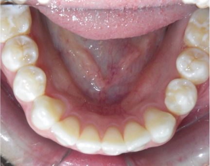
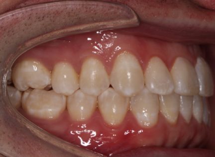
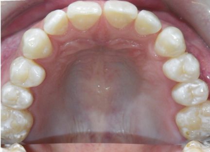
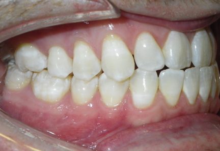
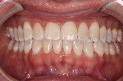
- Relation de classe III maintenue
- Surplomb et recouvrement normaux atteints
- Lignes médianes coïncidentes
- Tous les objectifs du traitement ont été atteints cas
- Des arcades harmoniques ont été réalisées
Commentaires
- La béance antérieure de classe III a été corrigée par une combinaison d'égression active absolue des dents antérieures supérieures ainsi que d'une inclinaison des incisives
- La rétraction des dents antérieures inférieures en utilisant l'espace existant ainsi que l'espace gagné en effectuant une réduction interproximale et avec l'usure élastique de classe III ont contribué à la correction de la béance antérieure
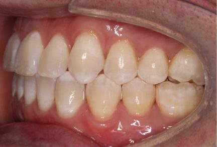
État initial
État final
Autres cas
Béance
Avec l'aimable autorisation du Dr P. Costa-Monteiro, 2019
Classe III, articulé croisé antérieur, béance, espacement, diastème
Lire la suite
Béance
Avec l'aimable autorisation du Dr L. De la Torre, 2020
Classe III, articulé postérieur, articulé antérieur, béance, arcades asymétriques, rotations, espacement, diastème
invis c'est valoriser votre expertise
En savoir plus sur la façon dont nous pouvons vous aider à valoriser votre expertise
Disclaimer: By submitting this form, you acknowledge that your personal data will be processed by the Align Technology group. Your personal data will be processed in accordance with our privacy policy.
.jpg?width=354&height=170&name=Align%20vertical%204%20logo%20lockup%20digital%20RGB%20(1).jpg)
