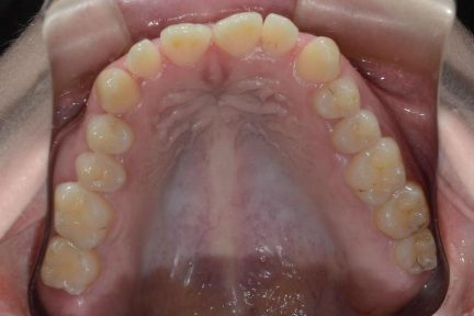
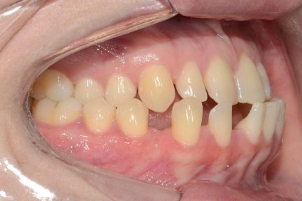
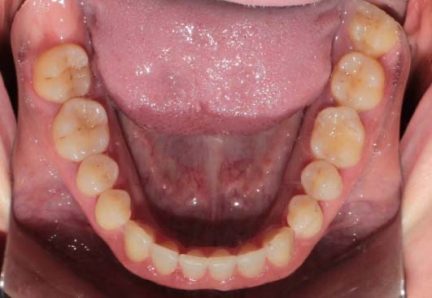
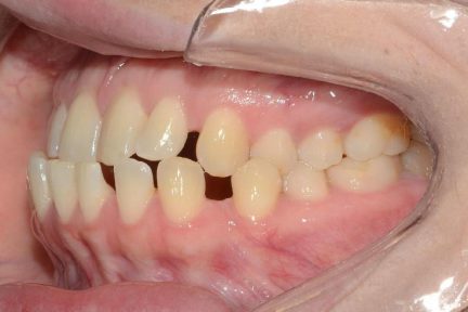
Classe III, articulé postérieur, articulé antérieur, béance, arcades asymétriques, rotations, espacement, diastème
Nivellement de la courbe de Spee, expansion, rétraction, réduction interproximale, fermeture d'espace, élastiques : classe III
Avec l'aimable autorisation du Dr L. De la Torre, 2020

Synthèse du traitement
Informations patient
- Âge : 26
- Sexe : féminin
- Option de traitement Invisalign : Invisalign Comprehensive
Durée totale du traitement
- 12 mois
Nombre d'aligners
- Maxillaire : 14
- Mandibulaire : 36
Durée de port de l'aligner
- 10 jours
Contention
- Maxillaire : Vivera retainer
- Mandibulaire : Vivera retainer
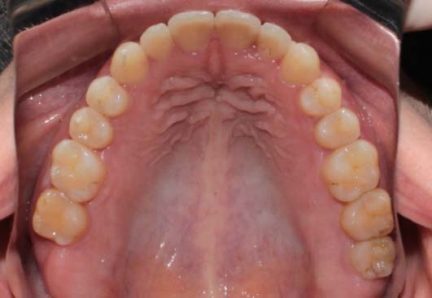
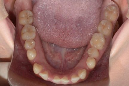
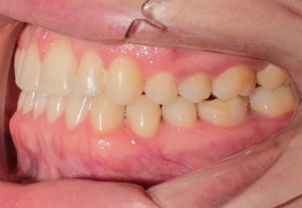
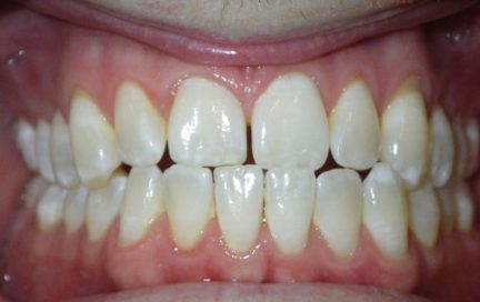
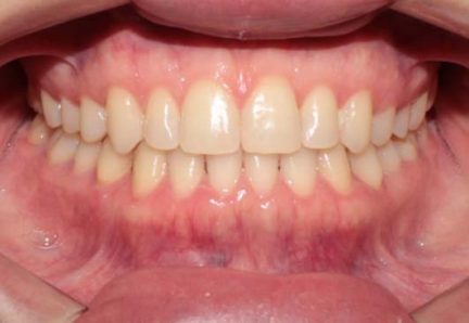
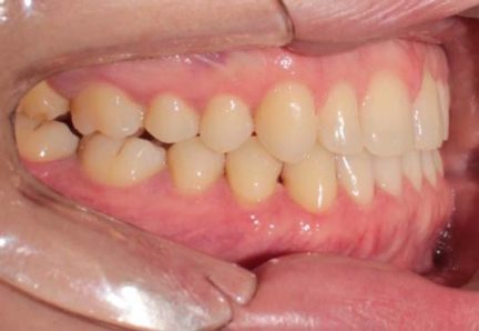
Résultats obtenus
- Relation de Classe I obtenue
- Guidage fonctionnel des canines des deux côtés
- Articulé croisé corrigé
- Articulé croisé postérieur corrigé
- Surplomb et recouvrement normaux obtenus
- Lignes médianes coïncidant
- Courbe de Spee nivelée
- Arcades alignées et coordonnées
- Forme de l'arcade améliorée
- Ligne de sourire esthétique obtenue
- Cas où tous les objectifs de traitement ont été atteints
- Arcades harmonieuses obtenues
Commentaires
- Élastiques usagés de classe III jetés tout au long du traitement pour soutenir l'espacement de fermeture et la correction de l'occlusion croisée antérieure
- Changement des aligners tous les 10 jours
État initial
État final
Autres cas
Béance
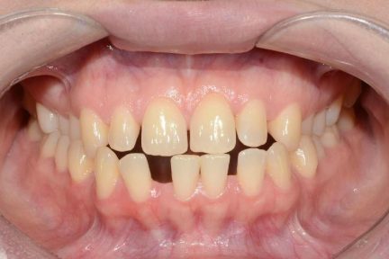
Avec l'aimable autorisation du Dr P. Costa-Monteiro, 2019
Classe III, articulé croisé antérieur, béance, espacement, diastème
Béance
Avec l'aimable autorisation du Dr S. Lawrence, 2017
Classe I, Classe III, articulé croisé antérieur, surplomb augmenté, béance, espacement
invis c'est valoriser votre expertise
En savoir plus sur la façon dont nous pouvons vous aider à valoriser votre expertise
Disclaimer: By submitting this form, you acknowledge that your personal data will be processed by the Align Technology group. Your personal data will be processed in accordance with our privacy policy.
.jpg?width=354&height=170&name=Align%20vertical%204%20logo%20lockup%20digital%20RGB%20(1).jpg)
