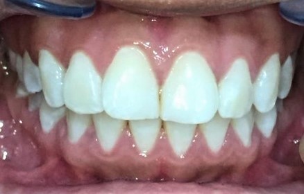
Classe II div 1, articulé croisé postérieur, surplomb accru, déviation de la ligne médiane maxillaire, rotations d'encombrement
Expansion, rétraction, réduction interproximale, élastiques : Classe II
{Drapeau} Avec l'aimable autorisation du Dr V. Aranguibel Newman, 2021

Synthèse du traitement
Informations patient
- Âge: 21
- Sexe: féminin
- Option de traitement Invisalign: Invisalign Full
Nombre d'aligners
- Maxillaire: 27
- Mandibulaire: 27
Durée de port de l'aligner
- 10 jours
Contention
- Maxillaire: Fixe/Collé
- Mandibulaire: Fixe/Collé
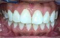
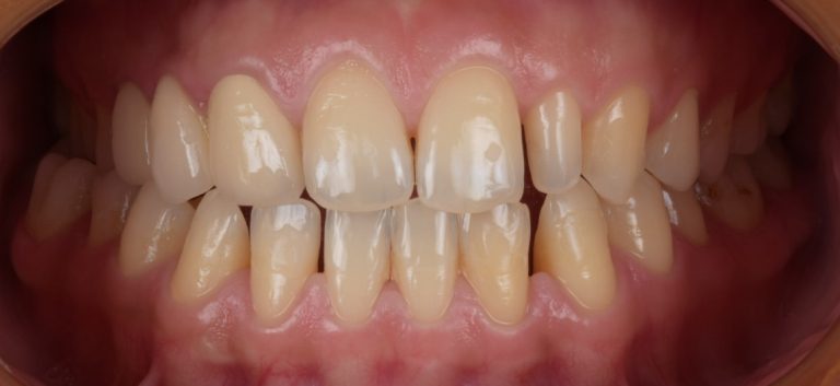
Résultats obtenus
- Relation de classe I obtenue
- Guidage fonctionnel des canines des deux côtés
- Articulé postérieur corrigé
- Surplomb et recouvrement normaux obtenus
- Surplomb amélioré
- Lignes médianes coïncidentes
- Bonne inclinaison axiale des incisives
- Courbe de Spee nivelée
- Forme de l'arcade améliorée
- Cas où tous les objectifs du traitement ont été atteints
- Des arcades harmoniques ont été obtenues
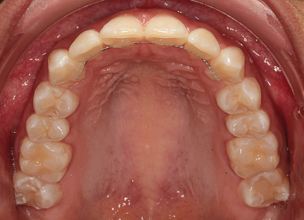
Commentaires
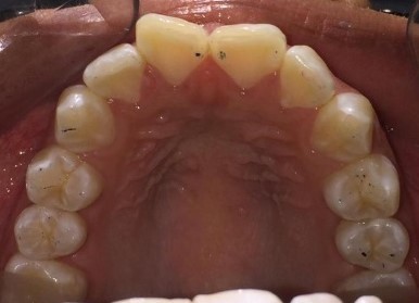
- Elastiques de réduction interproximale et Classe II pour la correction de canine de classe II
- Dérotation et rétraction des incisives maxillaires
- Forme d'arcade ovale
- L'expansion molaire supérieure et les taquets multi-plans optimisés pour la rotation de la deuxième molaire inférieure ont été utilisés pour la résolution de l'occlusion croisée postérieure gauche
État initial
État final
Autres cas
Recouvrement
Avec l'aimable autorisation du Dr Q. Chen, 2021
Classe II div 1, surplomb accru, rétrognathie mandibulaire, articulation profonde, arcades étroites, arcades asymétriques, déviation de la ligne médiane mandibulaire, décalage de la ligne médiane, chevauchement
Recouvrement
Avec l'aimable autorisation du Dr F. Wang, 2021
Classe I, morsure bord à bord, espacement, diastème
invis c'est valoriser votre expertise
En savoir plus sur la façon dont nous pouvons vous aider à valoriser votre expertise
Disclaimer: By submitting this form, you acknowledge that your personal data will be processed by the Align Technology group. Your personal data will be processed in accordance with our privacy policy.
.jpg?width=354&height=170&name=Align%20vertical%204%20logo%20lockup%20digital%20RGB%20(1).jpg)
