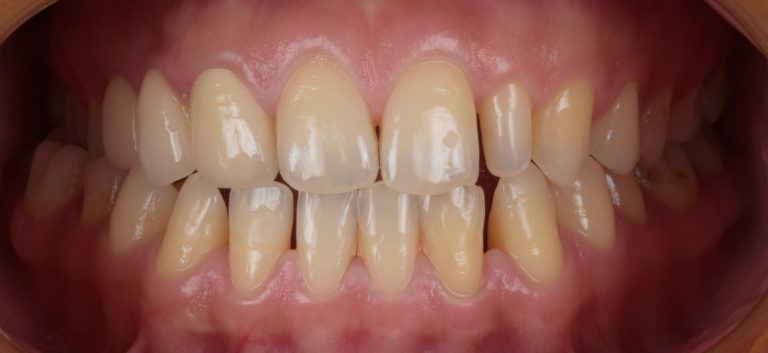
Classe I, morsure bord à bord, espacement, diastème
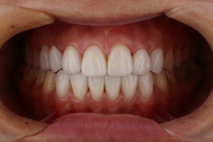
Facettes
Avec l'aimable autorisation du Dr F. Wang, 2021

Synthèse du traitement
Informations patient
- Âge: 32
- Sexe: féminin
- Option de traitement Invisalign : Invisalign Full
Durée totale du traitement
- 15 mois
Nombre d'aligners
- Maxillaire: 52
- Mandibulaire: 52
Durée de port de l'aligner
- 10 jours
Contention
- Maxillaire: Autre clair
- Mandibulaire: Autre clair
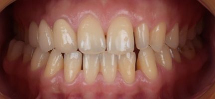
Résultats obtenus
- Relation de Classe I obtenue
- Guidage fonctionnel des canines des deux côtés
- Surplomb et recouvrement normaux obtenus
- Ligne esthétique du sourire obtenue
- Cas où tous les objectifs de traitement ont été atteints
- Arcades harmonieuses obtenues
Commentaires
- Il s'agit d'un cas d'orthodontie combinée à une réparation esthétique.
- Il était nécessaire d'améliorer l'occlusion et la répartition de l'espace grâce à Invisalign et d'améliorer la forme et la beauté des dents du patient grâce à une restauration esthétique.
- Avant le traitement orthodontique, le patient a utilisé la conception esthétique DSD pour répartir l'espace, et l'espace dispersé en dehors de la zone esthétique a été ajusté par le mouvement proximal de la dent postérieure.
- Après traitement orthodontique, la partie supérieure droite 3, un implant posé et toutes les dents antérieures ayant reçu une restauration esthétique ont été utilisées.
- Le patient était très satisfait de l'effet curatif.
- Il est à noter que ce cas a été réalisé en une seule fois, aucune finition ne fut nécessaire.
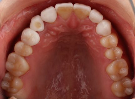
État initial
État final
Autres cas
Recouvrement
Avec l'aimable autorisation du Dr V. Aranguibel Newman, 2021
Classe II div 1, articulé croisé postérieur, surplomb accru, déviation de la ligne médiane maxillaire, rotations d'encombrement
Recouvrement
Avec l'aimable autorisation du Dr Q. Chen, 2021
Classe II div 1, surplomb accru, rétrognathie mandibulaire, articulation profonde, arcades étroites, arcades asymétriques, déviation de la ligne médiane mandibulaire, décalage de la ligne médiane, chevauchement
invis c'est valoriser votre expertise
En savoir plus sur la façon dont nous pouvons vous aider à valoriser votre expertise
Disclaimer: By submitting this form, you acknowledge that your personal data will be processed by the Align Technology group. Your personal data will be processed in accordance with our privacy policy.
.jpg?width=354&height=170&name=Align%20vertical%204%20logo%20lockup%20digital%20RGB%20(1).jpg)
