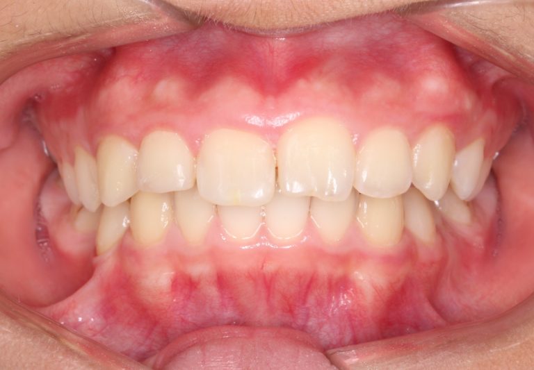
Classe II div 1, surplomb accru, rétrognathie mandibulaire, articulation profonde, arcades étroites, arcades asymétriques, déviation de la ligne médiane mandibulaire, décalage de la ligne médiane, chevauchement
Distalisation, mésialisation, nivellement de courbe de Spee, ingression, expansion, rétraction, extraction de la première prémolaire, réduction interproximale, fermeture d'espace, surtraitement, élastiques : Classe II, extraction
Avec l'aimable autorisation du Dr Q. Chen, 2021

Synthèse du traitement
Informations patient
- Âge: 15
- Sexe: masculin
- Option de traitement Invisalign: Invisalign Teen
Durée totale du traitement
- 21 mois
Nombre d'aligners
- Maxillaire: 54 + 21 + 22 = 97
- Mandibulaire: 54 + 21 + 22 = 97
Durée de port de l'aligner
- 1 semaine
Contention
- Maxillaire: Hawley
- Mandibulaire: Hawley
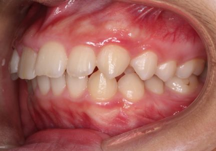
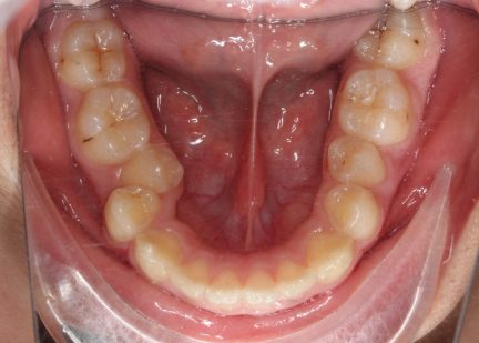
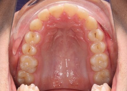
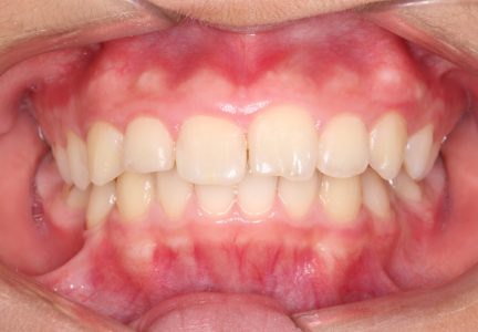
Résultats obtenus
- Relation de Classe I obtenue
- Guidage fonctionnel des canines des deux côtés
- Surplomb et recouvrement normaux obtenus
- Supraclusion améliorée
- Surplomb amélioré
- Amélioration significative du recouvrement
- Amélioration significative du surplomb
- Lignes médianes coïncidant
- Inclinaison axiale correcte des incisives
- Courbe de Spee nivelée
- Arcades alignées et coordonnées
- Forme de l'arcade améliorée
- Ligne de sourire esthétique obtenue
- Cas où tous les objectifs de traitement ont été atteints
- Arcades harmonieuses obtenues
Commentaires
- Des élastiques de classe II ont été utilisés dans la première phase de traitement.
- La conception modifiée du taquet G6 a été utilisée dans la première phase du traitement car les dents postérieures avaient une couronne dentaire courte.
- Les surocclusions profondes et protrusives ont été corrigées efficacement en 51 semaines.
- Tous les aligners ont été utilisés pendant une semaine et le traitement a été terminé en 21 mois.
- Un bon guidage antérieur et un bon guidage des canines ont été obtenus.
- Le patient et ses parents étaient vraiment satisfaits du résultat final du traitement.
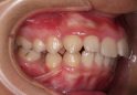
État initial
État final
Autres cas
Recouvrement
Avec l'aimable autorisation du Dr V. Aranguibel Newman, 2021
Classe II div 1, articulé croisé postérieur, surplomb accru, déviation de la ligne médiane maxillaire, rotations d'encombrement
Recouvrement
Avec l'aimable autorisation du Dr F. Wang, 2021
Classe I, morsure bord à bord, espacement, diastème
invis c'est valoriser votre expertise
En savoir plus sur la façon dont nous pouvons vous aider à valoriser votre expertise
Disclaimer: By submitting this form, you acknowledge that your personal data will be processed by the Align Technology group. Your personal data will be processed in accordance with our privacy policy.
.jpg?width=354&height=170&name=Align%20vertical%204%20logo%20lockup%20digital%20RGB%20(1).jpg)
