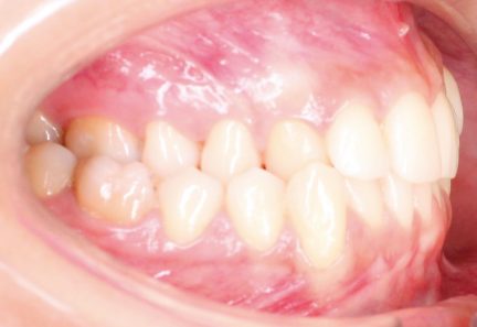
Classe III, articulé croisé postérieur, arcades étroites, arcades asymétriques, déviation de la ligne médiane mandibulaire
Distalisation, expansion, réduction interproximale, TAD, élastiques: Classe III
Avec l'aimable autorisation du Dr S. Oliveira, 2021

Synthèse du traitement
Informations patient
- Âge: 26
- Sexe: féminin
- Option de traitement Invisalign: Invisalign Comprehensive
Durée totale du traitement
- 21 mois
Nombre d'aligners
- Maxillaire: 48 + 9 = 57
- Mandibulaire: 48 + 9 = 57
Durée de port de l'aligner
- 1 semaine
Contention
- Maxillaire: Fixe/Collé
- Mandibulaire: Fixe/Collé
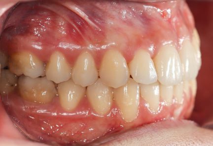
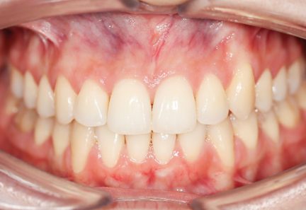
Résultats obtenus
- Relation de classe I obtenue
- Guidage fonctionnel des canines des deux côtés
- Articulé postérieur corrigé
- Surplomb et recouvrement normaux atteints
- Lignes médianes coïncidentes
- Arcades alignées et coordonnées
- Forme de l'arcade améliorée
- La ligne de sourire esthétique a été obtenue
- Des arcades harmoniques ont été réalisées
Commentaires
- Les résultats souhaités ont été obtenus par expansion des arcades avec traitement pré-ortho MARPE.
- Coordination de la forme de l'arcade dentaire supérieure et inférieure par expansion sur l'arcade supérieure.
- Distalisation des dents postérieures inférieures pour obtenir une relation molaire de classe I.
- Correction de la déviation de la ligne médiane inférieure Crêtes de pression sur les incisives inférieures pour prévenir les complications parodontales telles que la récession gingivale ou la déhiscence de l'os alvéolaire.
- La réduction interproximale a été utilisée pour corriger l'écart de Bolton.
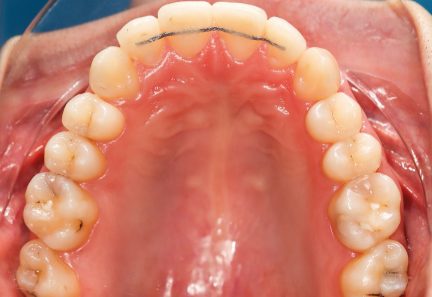
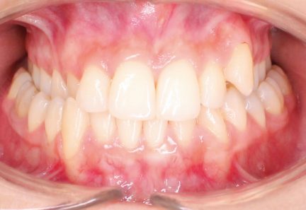
État initial
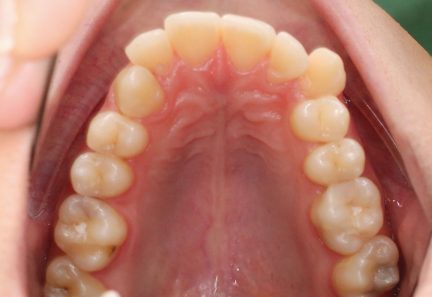
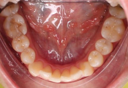
État final
Autres cas
Sous-occlusion
Avec l'aimable autorisation du Dr K. MALEKIAN, 2021
Classe III, articulé croisé postérieur, articulé croisé antérieur, occlusion bout-à-bout, articulation ouverte, arcades étroites, arcades asymétriques, déviation médiane maxillaire, déviation médiane mandibulaire, décalage médian, chevauchement, rotations
Sous-occlusion
Avec l'aimable autorisation du Dr R. Almada, 2021
Classe III, articulé croisé antérieur, occlusion bout-à-bout, béance, arcades étroites, déviation de la ligne médiane mandibulaire, surpeuplement, rotations
invis c'est valoriser votre expertise
En savoir plus sur la façon dont nous pouvons vous aider à valoriser votre expertise
Disclaimer: By submitting this form, you acknowledge that your personal data will be processed by the Align Technology group. Your personal data will be processed in accordance with our privacy policy.
.jpg?width=354&height=170&name=Align%20vertical%204%20logo%20lockup%20digital%20RGB%20(1).jpg)
