Classe III, articulé croisé postérieur, articulé croisé antérieur, occlusion bout-à-bout, articulation ouverte, arcades étroites, arcades asymétriques, déviation médiane maxillaire, déviation médiane mandibulaire, décalage médian, chevauchement, rotations
Distalisation, courbe de Spee nivelée, égression, expansion, rétraction, réduction interproximale, traitement de phase III, élastiques : Classe III
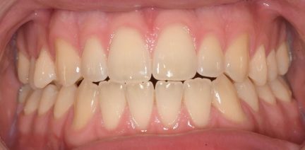
Avec l'aimable autorisation du Dr K. MALEKIAN, 2021

Synthèse du traitement
Informations patient
- Âge: 18
- Sexe: masculin
- Option de traitement Invisalign: Invisalign Comprehensive
Nombre d'aligners
- Maxillaire: 33 + 17 = 50
- Mandibulaire: 33 + 17 = 50
Durée de port de l'aligner
- Intervalle de changement progressif de l'aligner: 14 jours-10 jours-7 jours
Contention
- Maxillaire: Vivera retainer
- Mandibulaire: Vivera retainer
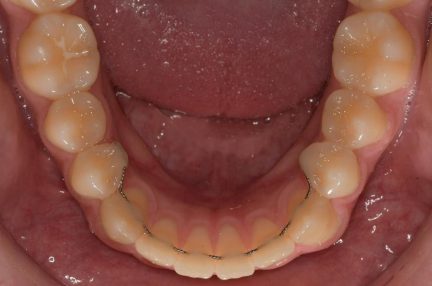
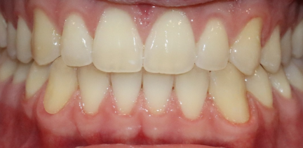
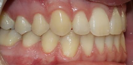
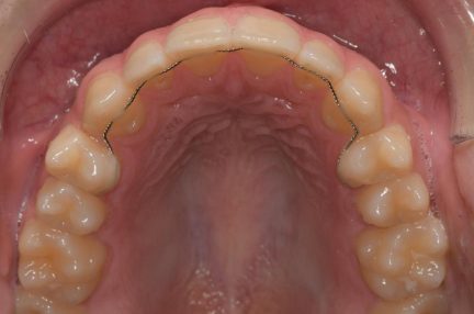
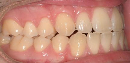
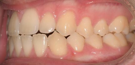
Résultats obtenus
- Relation de classe I obtenue
- -Relation de classe I maintenue
- Guidage fonctionnel des canines des deux côtés
- Articulé antérieur corrigé
- Articulé postérieur corrigé
- Surplomb et recouvrement normaux obtenus
- Surplomb amélioré
- Amélioration significative de la supraclusion
- Amélioration significative du surplomb
- Lignes médianes coïncidentes
- Bonne inclinaison axiale des incisives
- Courbe de Spee nivelée
- Arches alignées et coordonnées
- Alignement des deux arcades par dérotation
- Forme de l'arcade améliorée
- La ligne de sourire esthétique a été obtenue
- Cas où tous les objectifs du traitement ont été atteints
- Des arcades harmoniques ont été obtenues
Commentaires
- Des molaires de sagesse supérieures et inférieures ont été extraites avant le traitement Invisalign.
- L'extraction molaire de sagesse inférieure est une exigence dans ce traitement en raison de la distalisation séquentielle de l'arcade inférieure prévue au plan de traitement Clincheck.
- L'hyperexpansion de la première prémolaire supérieure droite a été corrigée en planifiant le mouvement lingual avec contrôle simultané du couple.
- Nous avons planifié une distalisation séquentielle de l'arcade inférieure pour corriger la molaire et la canine de classe III en molaire et canine de classe I.
- La distalisation séquentielle de l'arcade inférieure a fourni l'espace nécessaire pour rétracter les dents antérieures inférieures et donc corriger l'occlusion croisée des dents latérales supérieures.
- Le surplomb antérieur créé nous a permis de rétracter les incisives supérieures et donc de corriger la biprotusion dentaire.
- La collaboration des patients pendant la durée totale du traitement était excellente avec le port d'aligners à temps plein (22 heures/jour) et d'élastiques de classe III.
État initial
État final
Autres cas
Sous-occlusion
Avec l'aimable autorisation du Dr S. Oliveira, 2021
Classe III, articulé croisé postérieur, arcades étroites, arcades asymétriques, déviation de la ligne médiane mandibulaire
Sous-occlusion
Avec l'aimable autorisation du Dr R. Almada, 2021
Classe III, articulé croisé antérieur, occlusion bout-à-bout, béance, arcades étroites, déviation de la ligne médiane mandibulaire, surpeuplement, rotations
invis c'est valoriser votre expertise
En savoir plus sur la façon dont nous pouvons vous aider à valoriser votre expertise
Disclaimer: By submitting this form, you acknowledge that your personal data will be processed by the Align Technology group. Your personal data will be processed in accordance with our privacy policy.
.jpg?width=354&height=170&name=Align%20vertical%204%20logo%20lockup%20digital%20RGB%20(1).jpg)
