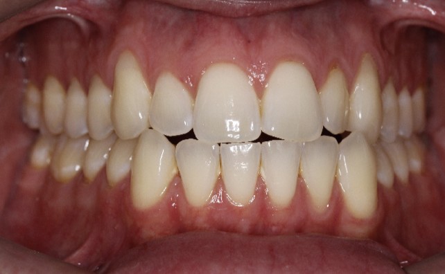
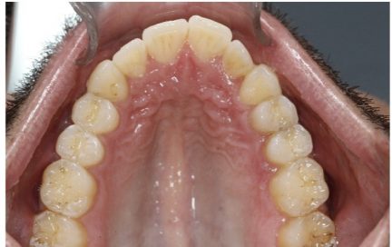
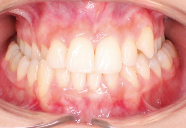
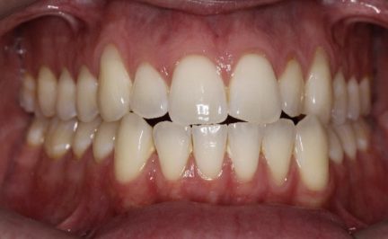
Classe III, articulé croisé antérieur, occlusion bout-à-bout, béance, arcades étroites, déviation de la ligne médiane mandibulaire, surpeuplement, rotations
Mésialisation, égression, expansion, réduction interproximale
Avec l'aimable autorisation du Dr R. Almada, 2021

Synthèse du traitement
Informations patient
- Âge: 34
- Sexe: masculin
- Option de traitement Invisalign: Invisalign Full
Nombre d'aligners
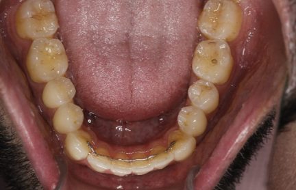
- Maxillaire: 32 + 27 + 14 = 73
- Mandibulaire: 32 + 27 + 14 = 73
Durée de port de l'aligner
- 1 semaine
Contention
- Maxillaire: Vivera retainer
- Mandibulaire: Vivera retainer
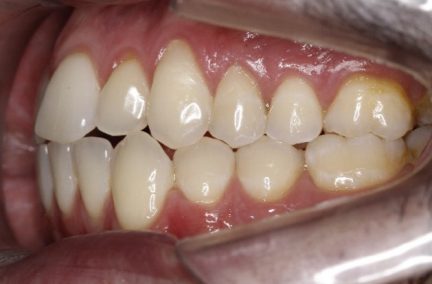
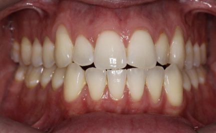
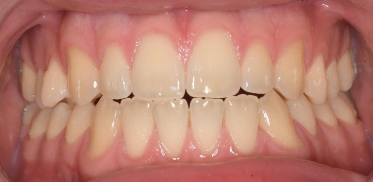
Résultats obtenus
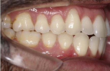
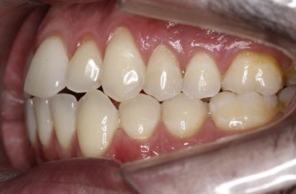
- Relation de Classe I obtenue
- Guidage fonctionnel des canines des deux côtés
- Articulé antérieur corrigé
- Surplomb et recouvrement normaux obtenus
- Surplomb amélioré
- Amélioration significative de la supraclusion
- Amélioration significative du surplomb
- Lignes médianes coïncidentes
- Bonne inclinaison axiale des incisives
- Arches alignées et coordonnées
- Forme de l'arcade améliorée
- La ligne de sourire esthétique a été obtenue
- Cas où tous les objectifs du traitement ont été atteints
- Des arcades harmoniques ont été obtenues
Commentaires
- Pour corriger cette malocclusion, nous avons élargi les arcades, corrigé la Classe 3 avec mésialisation des dents supérieures et distalisation des dents inférieures, associée à une réduction interproximale inférieure et à l'utilisation d'élastiques, en plus d'extruder les dents antérieures supérieures et inférieures, pour corriger la courbe du sourire qui était prévue.
État initial
État final
Autres cas
Sous-occlusion
Avec l'aimable autorisation du Dr S. Oliveira, 2021
Classe III, articulé croisé postérieur, arcades étroites, arcades asymétriques, déviation de la ligne médiane mandibulaire
Sous-occlusion
Avec l'aimable autorisation du Dr K. MALEKIAN, 2021
Classe III, articulé croisé postérieur, articulé croisé antérieur, occlusion bout-à-bout, articulation ouverte, arcades étroites, arcades asymétriques, déviation médiane maxillaire, déviation médiane mandibulaire, décalage médian, chevauchement, rotations
invis c'est valoriser votre expertise
En savoir plus sur la façon dont nous pouvons vous aider à valoriser votre expertise
Disclaimer: By submitting this form, you acknowledge that your personal data will be processed by the Align Technology group. Your personal data will be processed in accordance with our privacy policy.
.jpg?width=354&height=170&name=Align%20vertical%204%20logo%20lockup%20digital%20RGB%20(1).jpg)
